Çocuğun boğazından 19 adet mıknatıs çıkartıldı
SAĞLIK
(İHA) - İhlas Haber Ajansı |
05.10.2025 - 15:57, Güncelleme:
05.10.2025 - 15:00
Çocuğun boğazından 19 adet mıknatıs çıkartıldı
Çocuğun boğazından 19 adet mıknatıs çıkartıldı
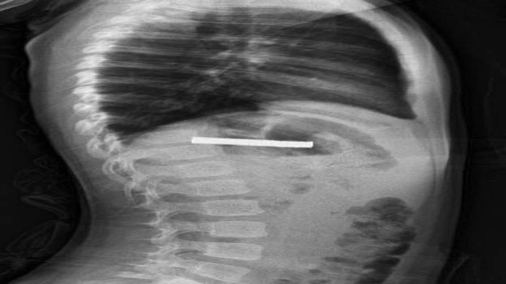
Elazığ’da 3 yaşındaki bir çocuğun yuttuğu 19 mıknatıs, Fırat Üniversitesi Hastanesinde başarılı bir operasyon ile çıkartıldı.
Edinilen bilgiye göre, Erzurum’da bir çocuk evde bulunan 19 tane mıknatısı yuttu. Çocuğun rahatsızlanması sonucu durumu öğrenen aile hastaneye başvurdu. Daha sonra çocuk Elazığ’a sevk edildi. Fırat Üniversitesi Çocuk Gastroenteroloji Hepatoloji ve Beslenme Bilim Dalı Başkanı Prof. Dr. Yaşar Doğan, çocuk hastanın yemek borusuna yapışmış 19 mıknatısı endoskopik yöntemle çıkardı.
Mıknatıslar uzun süre yemek borusunda takılı kaldığı için yemek borusu ve mide girişinde zedelenmeler olurken, çocuğun sağlık durumunun iyi olduğu ve taburcu edildiği öğrenildi.
Çocuğun boğazından 19 adet mıknatıs çıkartıldı
Elazığ’da 3 yaşındaki bir çocuğun yuttuğu 19 mıknatıs, Fırat Üniversitesi Hastanesinde başarılı bir operasyon ile çıkartıldı.
Edinilen bilgiye göre, Erzurum’da bir çocuk evde bulunan 19 tane mıknatısı yuttu. Çocuğun rahatsızlanması sonucu durumu öğrenen aile hastaneye başvurdu. Daha sonra çocuk Elazığ’a sevk edildi. Fırat Üniversitesi Çocuk Gastroenteroloji Hepatoloji ve Beslenme Bilim Dalı Başkanı Prof. Dr. Yaşar Doğan, çocuk hastanın yemek borusuna yapışmış 19 mıknatısı endoskopik yöntemle çıkardı.
Mıknatıslar uzun süre yemek borusunda takılı kaldığı için yemek borusu ve mide girişinde zedelenmeler olurken, çocuğun sağlık durumunun iyi olduğu ve taburcu edildiği öğrenildi.
Edinilen bilgiye göre, Erzurum’da bir çocuk evde bulunan 19 tane mıknatısı yuttu. Çocuğun rahatsızlanması sonucu durumu öğrenen aile hastaneye başvurdu. Daha sonra çocuk Elazığ’a sevk edildi. Fırat Üniversitesi Çocuk Gastroenteroloji Hepatoloji ve Beslenme Bilim Dalı Başkanı Prof. Dr. Yaşar Doğan, çocuk hastanın yemek borusuna yapışmış 19 mıknatısı endoskopik yöntemle çıkardı.
Mıknatıslar uzun süre yemek borusunda takılı kaldığı için yemek borusu ve mide girişinde zedelenmeler olurken, çocuğun sağlık durumunun iyi olduğu ve taburcu edildiği öğrenildi.
Elazığ HABERİ
Habere ifade bırak !
Bu habere hiç ifade kullanılmamış ilk ifadeyi siz kullanın.
Habere ait etiket tanımlanmamış.
Okuyu Yorumları (0)
Yorumunuz başarıyla alındı, inceleme ardından en kısa sürede yayına alınacaktır.